你知道吗?最近娱乐圈可是热闹非凡,大鹏的爆料简直让人目不暇接!今天,就让我带你一起深入了解一下这些八卦背后的真相吧!一、大鹏的爆...
最近娱乐圈可是炸开了锅,咱们就来聊聊这个热门话题——张云龙的恋情视频。听说这段视频在圈内传得沸沸扬扬,那咱们就一探究竟,看看这背...
你知道吗?最近娱乐圈可是热闹非凡,一大波独家爆料小八卦正在悄悄发酵。今天,我就要给你带来最新最热的视频,让你一睹为快!独家爆料:...
最近网上可是炸开了锅,阳明滩大桥的爆料视频成了大家茶余饭后的热门话题。你有没有看过那个视频呢?简直太刺激了!今天,就让我带你一起...
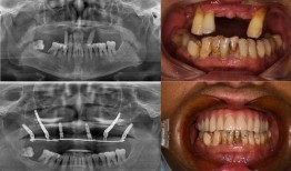
最近佛山那边的种牙事件可是闹得沸沸扬扬的,咱们得好好来聊聊这个话题。你有没有看过那个爆料视频?简直让人瞠目结舌啊!事件回顾:佛山...
你知道吗?最近娱乐圈可是炸开了锅,贾玲竟然爆出了一个大瓜!这位喜剧女神不仅搞笑,连爆料都这么劲爆,真是让人意想不到。下面就让我带...
你有没有想过,在这个信息爆炸的时代,我们竟然可以通过网络观看那些曾经只能在教堂里听到的传教士演讲呢?没错,就是那种充满激情、引人...
最近有没有听说福星版本的新爆料视频?简直让人热血沸腾啊!这不,我就迫不及待地来和你分享这个大事件了。你准备好了吗?让我们一起揭开...
你知道吗?最近烽火中学可是炸开了锅,各种爆料新闻层出不穷,让人瞠目结舌。这不,我就来给你细细道来,让你一探究竟!一、学霸风云再起...
亲爱的读者们,今天我要带你们一起探索一个神秘的世界——元神须弥的最新爆料图片!你是否曾幻想过穿越到一个充满奇幻色彩的世界,与各种...